Acquisition Software
Advanced Acquisition Software for Digital Radiography: X-ray and Fluoroscopy
A modern single-page design, equipped with advanced intelligent automation capabilities, addresses any manual tasks or workflow steps to streamline processes. This includes worklist import, automatic image processing, and auto PACS archiving, increases technologist productivity by 1.5 times, and enhances patient care.


Voyance delivers exceptional image quality with a minimal dose by applying various image processing techniques.

Image
Enhancement
Delivers superb image quality through a set of intelligent image processing filters and specialized contrast enhancement techniques, tailored to the selected imaging protocol.
Key features include:
• Contrast enhancement.
• Smart noise cancellation
• Automatic cropping
• Grid lines suppression
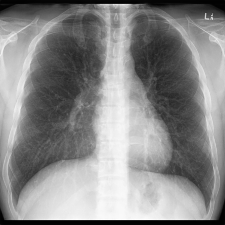
AI Bone
Supression
Utilizing cutting-edge Generative AI techniques, our method suppresses bones in typical medical X-rays, eliminating the need for additional exposure doses required by the older dual-energy technique. This leads to faster diagnoses and improved patient care.
.bb3f07d4.png)





Auto
Stitching
Auto and manual stitching for whole-body, full leg, and whole spine imaging for orthopedic applications.

• DICOM Store, Storage Commitment.
• DICOM Query/Retrieve.
• RIS Communication.
• Modality Worklist (MWL).
• Modality Performed Procedure Step (MPPS).
• DICOM Printing.
• Flexible DICOM Export Capabilities.
Hardware Integration
Multi Detectors
Keyboard Shortcuts
Multiple Languages
Multiuser (Multirole)
Touch Enabled Interface
Storage Indicator
Auto Positioning
Continuous Shooting
Emergency Mode
Study Management
Auto Technique chart
Compare Mode
Image modification Tools
Image Basic Tools
Measurements Tools
Chiropractic Toolset
Integrated with VPAX.ai
Printing
Export
PDF Template
Auto Sending
Statistics